
コラム
お子様の定期検診やってます(小児歯科)
今回のブログは池田が担当です。
新型コロナウイルスが心配ですが、みなさまいかがお過ごしでしょうか。
ところで、2月23日は総社で吉備路マラソンがありますが、開催が決定したとのことです。
賛否両論あると思いますが、毎年エントリーしている吉備路マラソンには出場したいと思います。
みなさまご声援のほどよろしくお願いいたします。(マスクの着用と手指消毒が推奨されています。)

さて、本題の小児歯科ですが、当院でも定期検診や歯並びの相談(小児矯正)を行っています。


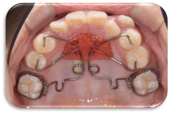
画像は当院で行っている染出しと矯正治療の一例です。
僕もたまに衛生士さんに染出しを行ってもらうのですが、意外とみがき残しがあり、定期的にチェックしてもらうことは大切だなと痛感しております。
また、岡山市では、5月28日と6月4日に小中学生の合同歯科検診が実施されます。僕は歯医者の子供だったんですが、歯科検診の紙をもらうたびに、恥ずかしい思いをしたのを覚えています。
ですので、春休み等を利用して、先に定期検診を受けてはどうでしょうか。
予約はメールでも受け付けております。お気軽にご相談ください!!
https://okayama-ikeda-dental.com/reservation/





