
コラム
ホワイトニング
今回のブログは渡邊が書かせていただきます☺」
皆さん一回は歯を白くしたいなて思った事はないですか?
私も実はホワイトニングをして凄く白くなり歯を見せるのことに自信持ってます!!
歯科衛生士の学生さんがバイトに来てくださってホワイトニングに興味があり私がオフィスホワイトニングをさせてもらいました(*'ω'*)

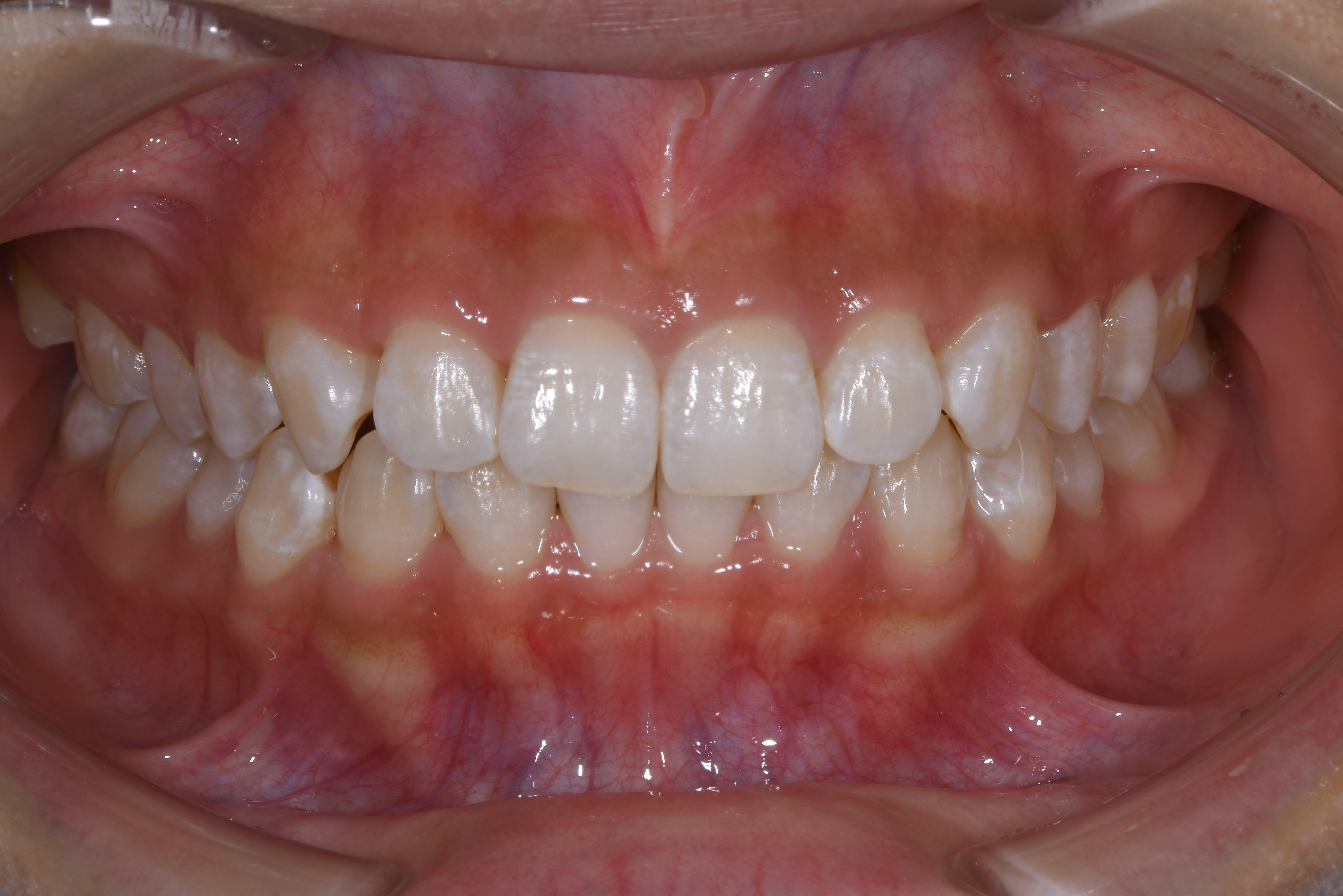
(上)術前 (下)術後
個人差はありますけどこの方は一回でこんなに白くなりました☺
歯医者さんに行くの時間があまりとれない…てかたでも好きな時にいつでもできるお家でするホームホワイトニングもおすすめです(*^-^*)
興味があるて方はお話だけでもどうぞ♪
料金も載せときます!!






