コラム

娘の矯正…その2

こんにちは
クリーンスタッフの池田です。
前回、娘が矯正することになったことを書かせて頂きましたが、
今回はその後の状態を書かせて頂こうと思います。
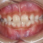
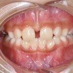
1か月程ねじねじを続けた後、1か月金具を付けたまま放置。。。
こんなに空きっ歯になって大丈夫なの?と娘も私も不安でしたが、
現在は全く気にならない程くっついてます!!
比較するとすごいですね!!( ゚Д゚)
   
また1か月放置ですが、どんな感じになるのか乞うご期待(^^♪

前へ 一覧ページに戻る 次へ
top
0862592312 WEB予約 Instagram