
コラム
歯医者も歯医者へ行く、の巻 その2
今回のブログは院長の池田が担当です。
今回は2回目にして完結編です。前回のブログを見ていない方は下記を見ていただいてから今回のブログを見ていただければなと思います。
https://blog.site-design.workblog/976/
前回治療をしてもらって痛みは治まってきたので、仮歯から最終的なかぶせの歯を入れていくことになりました。
ここで歯科医院で治療したことがある方なら、必ず聞かれたことがある質問、
「かぶせものの種類はどうしましょうか?」
という質問に、自問しなければなりません。かぶせものの種類は細かく分けると当院では10種類くらいありますが、スペースの関係上、今回はその説明は割愛させてもらいます。
ちなみに、自院で治療を受ける場合、スタッフ(院長も含む)は健康保険を使うことが出来ないのですべて自費診療となります。
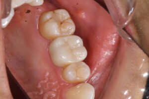
今回は僕は透過性の高い種類のジルコニアでステイン無しというものを選択しました。(下記の写真の真ん中の歯が実際に僕の口に入ったものです)

ジルコニアとは人工ダイヤモンドやスワロフスキーでも使われている材料です。
ジルコニアは透明になるほど脆くなる性質があったので、従来歯科で使われていたジルコニアは、ただ単に白いだけで、ものすごく硬く、扱いづらい材料だったのですが、最近透明感と硬さを兼ね備えた材料に進化しつつあります。そして、ステイン無しというのは、汚れをつけないということです。ステインをわざとつけることで、横の歯とほぼ同じ色にすることが可能ですが、その分加工費用もかかるため、今回はあまり見えない部分なので、少し節約させてもらいました。


その後、スタッフに調整してもらい無事に歯が入ったのでした。
みなさんも、歯の違和感を感じたら早めに歯医者さんへ相談することをおすすめします。本当はこのようなかぶせものの歯にならないことが理想ですが・・・。この左上の歯は5年間くらい違和感を感じていたのですが、今はすごくすっきりしています。
また、かぶせものの種類や性質、値段などが気になる方は、お気軽にスタッフまでお声かけ下さい。





